LaserOptek

1064 PS 핸드피스는 다양한 피부 깊이에서 넓은 레이저 유도 광학 분해 (LIOB)
영역을 정밀하게 제어하여 각기 다른 피부층을 타겟팅하고 피부 탄력을
개선하도록 설계되었습니다.

LASEROPTEK SCULPIO

정밀한 에너지로 피부층 타겟팅

레이저옵텍의 특허 기술인 Dia FX® 기술로 피부층별 강력한 에너지를 맞춤 전달하며
에너지를 균일하고 안전하게 전달하는프락셔널 레이저 기술이 적용되었습니다.

넓고 깊은 LIOB 영역으로
피부조직을 정교하게 컨트롤

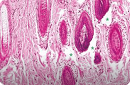
스컬피오가 만들어 내는 강력한 에너지와 피코초의 결합은
피부 진피 속 넓고 깊은 영역의 LIOB를 생성해 플라즈마를 발생시킵니다.

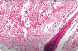
1064 PS

침투깊이 : 499.98~935.23 μm

침투깊이 : 257.12~287.38 μm

출처 : Effect of fractional picosecond laser therapy using a diffractive optical lens on histological tissue reaction, Journal of cosmetic and laser therapy, 2024

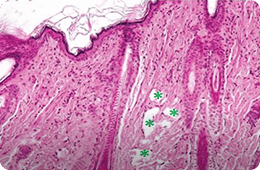
532 PS

침투깊이 : 861.15~1,229 μm

침투깊이 : 600.66~918.46 μm

출처 : A Randomized, Prospective, Split-Face Pilot Study to Evaluate the Safety and Efficacy of 532-nm and 1,064-nm
Picosecond Lasers Using a Diffractive Optical Element for Non-Ablative Skin Rejuvenation, Dermatologic Therapy, 2022

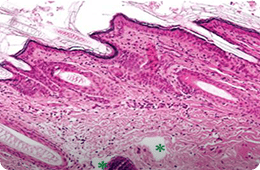
특히나 스컬피오의 532PS 핸드피스는 표피를 보존하면서
진피 내에서 LIOB를 생성하여 전통적인 532nm 레이저의 한계를 극복합니다.

피부 깊숙이 전달되는 강력한 에너지

스컬피오가 만들어 내는 강력한 에너지와 피코초의 결합은
피부 진피 속 넓고 깊은 영역의 LIOB를 생성해 플라즈마를 발생시킵니다.

SELECT

PS모드로 원하는 얼굴부위를 간편하게 선택하고,
세밀하게 설정된 파라미터로 최적의결과를 제공합니다.

TREAT

새로운Stamping 타입으로
더욱 향상된 효과를 경험하세요

1064PS

1064PS 핸드피스

더 커진 스팟 사이즈로 치료는 빠르게, 스탬핑 모드로 더욱 정교하게
1064PS 핸드피스는 피부 각 층을 정확하게 타게팅 하여 각 층 별 정밀한
에너지 작용으로 피부속 미세 손상을 통해 콜라겐 생성을 촉진합니다.

532PS

532PS 핸드피스

532PS 핸드피스는 비침습적으로 진피에 도달하여, 피부 표면 손상 없이
진피층만 자극하여 노화된 피부 세포를 활성화 하고 빛나는 자신감을
만들어 줍니다.

532PS

532PS 핸드피스

532PS 핸드피스는 비침습적으로 진피에 도달하여, 피부 표면 손상 없이
진피층만 자극하여 노화된 피부 세포를 활성화 하고 빛나는 자신감을
만들어 줍니다.

1064PS

1064PS 핸드피스

더 커진 스팟 사이즈로 치료는 빠르게, 스탬핑 모드로 더욱 정교하게
1064PS 핸드피스는 피부 각 층을 정확하게 타게팅 하여 각 층 별 정밀한
에너지 작용으로 피부속 미세 손상을 통해 콜라겐 생성을 촉진합니다.

LaserOptek

contact

병원명

담당자명

연락처

이메일

제목

메세지

A 경기도 성남시 중원구 갈마치로 245, 현대아이파크디어반 14층

T 031-8023-5150

F 031-8023-5151